審美歯科
バランスの取れた美しい口元で、明るい笑顔へ
前歯を自然な感じできれいにしたい、歯の色のコンプレックスを解消したいなど見た目を美しく健康的に改善していきます。審美歯科は、バランスの取れた美しい口元を作り出し、自信を持った明るい笑顔へと導きます。ホワイトニング(歯の漂白)やジルコニアセラミックス、メタルセラミックス、オールセラミック、ハイブリッドセラミック(歯のかぶせ物)などの最新技術を取り入れています。口元のコンプレックスを解消したい方に喜ばれています。


詰め物


被せ物

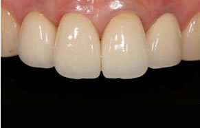
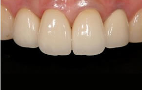
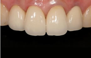
前歯

前歯

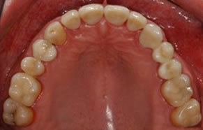
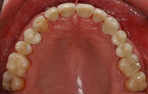
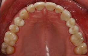
奥歯

奥歯
審美歯科料金表
被せもの(クラウン)
ジルコニアセラミック 110,000円 | 透明度が高く、天然歯と変わらない非常に審美性、硬度の高い新しいタイプの色の変わらないセラミックです。 ![]() |
---|---|
オールセラミック 85,000円 | 透明度・色調は若干落ちますが、金属を使用しない比較的安価なオールセラミックです。 ![]() |
メタルセラミック 90,000円 | 透明度は若干落ちますが強度が高く、金属の上から色の変わらないセラミックで覆うタイプのかぶせものです。 ![]() |
メタルハイブリッドレジン 60,000円 | 金属の上から強化プラスチックで覆うタイプのかぶせものです。 ![]() |
ラミネートべニア 90,000円 | 歯の表面を一層削り、薄いセラミックを貼り付けます。歯を削る量は最小限に抑えられます。 |
奥歯のみに用いられる
オールジルコニア 60,000円 | 強度は非常に優れているが、透明度・色調は落ちるため前歯部には使用出来ない。臼歯部のみ適用です。 ![]() |
---|---|
メタルハイブリッドレジン 60,000円 | 金属の上から強化プラスチックで覆うタイプのかぶせものです。 ![]() |
ゴールドクラウン | (小臼歯)80,000円 (大臼歯)85,000円 審美性は悪いですが、柔らかく機能的には最高の材料です。 ![]() |
詰め物(インレー)
セラミックインレー 45,000円 | 非常に審美性の高い、歯の中に填め込むタイプの詰めものです。 ![]() |
---|---|
ゴールドインレー | (小臼歯)50,000円 (大臼歯)55,000円 審美性は悪いですが、適合が良く最高の素材です。 ![]() |
ハイブリッドインレー 25,000円 | 強化したプラスチックによる、白い部分的な詰めものです。 ![]() |
※消費税は別途かかります。
診療内容
下記ボタンをクリックして診療詳細をご覧ください。