インプラント
自分の歯のように噛むことができる人工の歯
歯を失ってしまい噛めない、また、入れ歯が合わない、わずらわしいなどと思っていらっしゃる方にインプラント(人工歯根を植える)治療を行っております。
歯が抜けた部分の骨に人工歯根を埋め込み、人工の歯を装着する治療法です。
違和感も少なく、ご自身の歯のように嚙むこと事ができます。義歯のように取り外しの手間もありません。
さらに、抜けた歯の前後の歯を削る必要もありません。
残念ながら、患者様の骨の状態や口の中の環境により適応できない場合もあります。是非ご相談下さい。
より良いインプラント治療をお受けいただくためには、正確な診断が不可欠です。
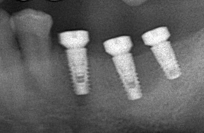
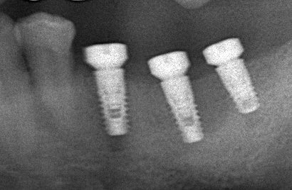
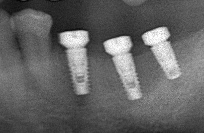
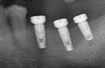
CT撮影により、正確なポジショニングや高解像度撮影、精緻な画像診断を実現します。
歯が抜けた部分の骨に人工歯根を埋め込み、人工の歯を装着する治療法です。
違和感も少なく、ご自身の歯のように嚙むこと事ができます。義歯のように取り外しの手間もありません。
さらに、抜けた歯の前後の歯を削る必要もありません。
残念ながら、患者様の骨の状態や口の中の環境により適応できない場合もあります。是非ご相談下さい。
より良いインプラント治療をお受けいただくためには、正確な診断が不可欠です。
CT撮影により、正確なポジショニングや高解像度撮影、精緻な画像診断を実現します。


治療の流れ

レントゲン・CT・模型などによって十分な診査・診断の後、インプラント治療に関する説明を行う。

チタン製の小さなネジのような形状のインプラントを局所麻酔下にて顎の骨の中に埋め込みます。


インプラントと骨がしっかりくっつくまで約3か月~6か月待ちます。その後、インプラント2次手術を行います。

ヘッド部分を装着し、型とりを行い、最終的な被せ物を装着します。
インプラント治療後はホームケアが重要です。正しい歯磨きと歯間ブラシを行い、3か月に一度は定期検診を行いましょう。インプラント治療に関しては保証がございます。詳しくはお尋ね下さい。
インプラント料金
1本:34万円~
・インプラント稙立1次手術(術前CT・診断・薬・術中・術後レントゲン代含む) | 220,000円 |
---|---|
・2次手術 | 30,000円 |
・人工歯冠装着(仮歯・型採り・咬み合わせ採り代含む) | ジルコニアセラミック 140,000円 透明度が高く、天然歯と変わらない非常に審美性、硬度の高い新しいタイプの色の変わらないセラミックです。 メタルセラミック 120,000円 透明度は若干落ちますが強度が高く、金属の上から色の変わらないセラミックで覆うタイプのかぶせものです。 オールジルコニア 100,000円 強度は非常に優れているが、透明度・色調は落ちるため前歯部には使用出来ない。臼歯部のみ適用です。 メタルハイブリッド 90,000円 金属の上から強化プラスチックで覆うタイプのかぶせものです。 |
インプラント植立手術時、2次手術時、人工歯冠装着時3回に分けてお支払いして頂きます。
支払い方法(現金・クレジットカード・一括・分割)に関してはご相談ください。
※消費税は別途かかります。
診療内容
下記ボタンをクリックして診療詳細をご覧ください。