口腔外科
歯科で扱う病気の大部分は虫歯と歯周病ですが、これら以外にも口の中の病気があります。
抜歯、歯の炎症、顎関節症、外傷の処置、口の中の出来物の早期発見などを行ないます。
必要に応じて総合病院へのご紹介をする事もあります。
月に2度(土曜日午後)歯科口腔外科医が診療を行います。(愛知学院大学歯学部附属病院 歯科口腔外科所属)
抜歯および口腔内の小手術をご希望される方は、スタッフまでお尋ねください。
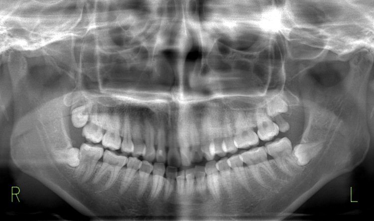
親知らず
横向きなど異常な生え方は磨きにくく、食べかすなどが溜まりやすい為、むし歯や歯肉炎、歯周病になりやすい。
また、手前の歯を押して歯並びを乱し、かみ合わせが悪くなったり、顎関節症の原因になったりします。
親知らずは、抜いた方が良いか?
きちんと生え、かみ合っていれば、他の歯と同様大切にして下さい。
残しておくことで再利用できる可能性があります。
次のような、親知らずは抜いた方が良い。
(1)むし歯や歯周病になっている。
(2)完全に生えてなく、歯肉炎を繰り返している。
(3)手前の歯を押して、歯並びを悪くしている。
(4)少しだけ生え、歯ぐきの中に埋まった状態でそれ以上生えてこない。
診療内容
下記ボタンをクリックして診療詳細をご覧ください。
